
インプラントの症例 詳細
6本のインプラントで、
セラミックブリッジ(人工歯)を固定 2
治療前
上顎には、歯が4本残るために、そこに数ミリの大きさのマグネットを2つ設置し、総入れ歯を安定させました。
また、磁石の使用で、義歯の真ん中の口蓋部分を大きくくり抜くことができます。
下顎は、6本のインプラントを利用したワンピースのジルコニアによるオールセラミックのブリッジで固定式の治療をしました。
治療計画はCTレントゲンのデータ上で立案し、インプラント埋入手術は、そのデータから作ったサージガイドをします。
治療後
この症例の治療内容と料金、
副作用(リスク)について
症例写真
初診時:歯周病のために多くの歯がなくなっています。上には8本歯が残っていましたが、動揺が激しく3本抜歯したところです。下には、1本残っていますが、抜歯予定です。上の状態です、数本の歯は歯周病のオペをすれば残せそうです。その歯を使って、磁石により、入れ歯を安定させる治療法を行います。下は、インプラントによるブリッジの治療を行います。レントゲンから、インプラント治療に垂直的には十分な骨が存在するのがわかります。
CTレントゲンからのデータにより、インプラントの埋入ポジションを決定します。そして、外科用ステント(サージガイド)を作製し、計画通りにインプラントを下の顎骨に埋入します。
インプラントの手術前です。上下に入れ歯が装着されています。上は、この義歯を改造していく予定です。下は、インプラント治療後、この義歯の歯の位置はそのままで、ブリッジに置き換わる予定です。その意味で、この義歯の排列、噛み合わせが、最終的なブリッジを作るために重要です。
下の状態です。顎堤の幅は十分あります。CTデータから作製した外科用ステント(サージがイド)を利用したインプラント治療をしたことで、治療計画通りにインプラントが埋入されました。この写真は、精密な型をとる直前の状態です。全部で12本の歯を6本のインプラントで支えます。前歯の部分は、4本、奥歯の部分は左右1本ずつのインプラントが無しで支えられる部分があります。
お口の状態と同じ状態を再現した精密な模型です。インプラント周囲には、歯肉の固さを再現したシリコンで作られています。アバットメントが6つ装着されています。この状態から、CAD/CAMを利用し、ジルコニアのフレームを作製します。
ジルコニアのフレームは、メタルフレーム同様の強度がありますし、メタルフレームに比べて、重量が軽く、プラークが付着しにくいといった大きな利点があります。
大きなジルコニアのブロックから、コンピュータで読み取った一つ前の写真にあったアバットメントが装着されたインプラント模型のデータを元に、フレームの削りだしを行い、それを焼成することで、この写真のようにジルコニアのフレームを完成させることができます。
同様のことは、チタンフレームでは可能すが、プラークが付着しやすいといった欠点が存在します。また、これまでは、メタルを鋳造することでフレームを作りましたので、このような大きいフレームを作製すると、鋳造時の誤差が生じるために難しく、いくつかのピースに分けたフレームを口腔内で、試適、位置決めをおこない、蝋着を行うのが主流でした。
その結果、治療回数が増えたり、数年後に蝋着部分の劣化が生じるなどの欠点がありました。
【左】大きなジルコニアブロックから掘り出されたフレームです。
【右】ジルコニアのフレームを調整し、インプラントの模型に適合させます。問題なく適合しています。
インプラント部にシリコンを戻し、確認しているところです。この後に、尖った棒状の部分を削合します。
腔内で、インプラント部にアバットメントをセットし、ジルコニアのフレームを試適しています。非常に良い適合状態です。正面からの状態です。
試適後、このフレームにセラミックを築成します。
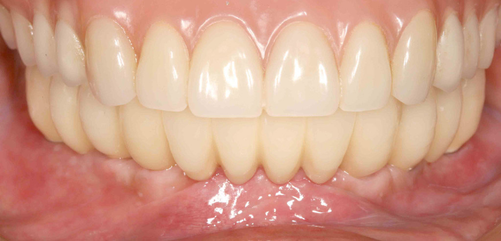
インプラント部に、ジルコニアによる12本分のオールセラミックブリッジがセットされました。
上は、マグネットにより固定された義歯へ改造されていきます。
審美、機能的にも回復することができました。角度を変えて上から見たところです。機能的な噛み合わせの形態が付与されています。
レントゲンからも、インプラント治療が治療計画通りに行われたことが分かります。インプラント周囲の骨も安定しています。
ジルコニアによるオールセラミックブリッジの適合も良好です。