インプラントの症例 詳細

前歯が1本欠損

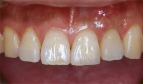
治療前

治療前

歯が割れてしまったので、抜歯をしなくてはなりませんでした。抜歯後の治療ですが、患者様の年齢も若いし、両隣がほぼ健全歯(以前に削ったりなどの治療をほとんどしていない歯)でしたので、インプラント治療がベストと考えられます。

抜歯の際に、抜歯窩に感染が認められなかったので、同時にインプラント治療を行いました。抜歯した歯の周囲が膿んでいる時は、同日にインプラントを入れるのは避けるべきです。また、特に前歯の場合、抜歯窩の周りの骨に欠損がある時や、骨の厚みが薄い時も、抜歯と同時にはインプラントを入れることを避けた方がいいです。

抜歯した部位は、必ず、歯があった周囲の骨と歯肉が吸収を起こすので、体積が減少します。ですので、インプラント治療を行う時に、それらを補う骨造成と歯肉の移植が必要になる場合がほとんどです。

この患者様の場合は、インプラントの埋入時に小規模の骨造成を行い、半年を経過した時点で、上皮下結合組織移植術を行っています。

新しい歯は、メタル色の材料を選択した場合は、歯肉を透けて灰色が浮き出てしまい審美性を損なうこともありますので、全て白系統の材料を選びました。ですので、白色であるジルコニアアバットメントとジルコニアによるオールセラミッククラウンによって作製しました(ジルコニアはメタルと同様の強度があるセラミックです)。

治療後

治療後

この症例の治療内容と料金、
副作用(リスク)について

治療メニュー 前歯部への抜歯同日インプラント治療
治療内容 歯科インプラント治療とは、歯の抜けた部分のあごの骨に、デンタルインプラント(人工歯根)を埋め込み、人工の歯をその上に装着する治療法です。この症例では、抜歯と同日にインプラント治療と骨造成治療を行っています。
治療の副作用
(リスク)
手術の際には、隣在歯・周囲の歯槽骨を傷つけない様に、術前に、外科的・噛み合わせ的な側面から十分な診査を行います。また、術後1〜2週間に腫脹・内出血などがおきることもあります。まれに、インプラントが骨と結合せずに、脱落することや、治療中の仮歯、治療後のセラミックについては、欠けたり、外れることもあります。歯槽骨・歯茎の状態によって、治療の難易度がことなるために、必ずしも同様の結果になるとは限りません。
治療価格 51万円〜100万円(歯槽骨・歯肉の状態・セラミックの種類などによって異なります)

症例写真

治療写真

初診時:歯が割れてしまっています。神経が無い歯なので黒く変色もしています。

治療写真

【左】抜去歯ですが、粉々になっています。
【右】さっきまで歯があったところの骨を調べると、丈夫な骨が残っていることが確認できました。

治療写真

【左】インプラントを埋入し、固定できるように抜歯によってできた穴の形をドリルで修正してから、インプラントを少しずつゆっくりと入れていきます。

治療写真

半年を経過した時の様子ですが、外側が凹んでいるのがわかります。このままで、セラミックの歯を作っても審美的な形態にはならないので、余っている歯肉を同部位に移植しました。

治療写真

凹みはすっかり改善され、左右対称の形になりました。

治療写真

仮歯を入れるために、ほんの数ミリだけ切開し、ジルコニア製のアバットメントを立てました。

治療写真

ジルコニア製のアバットメントに、ジルコニアで補強されたオールセラミッククラウンがセットされました。前歯のインプラントの場合は、この組み合わせで新しい歯を作製することが、審美的な点から一番有利と考えらます。また、衛生面においても他の材質よりプラークが付着しにくいので有利です。

治療写真

レントゲン的にもインプラントの周りに骨吸収も見られずに安定しています。