
初めての方限定!
お口の健康応援キャンペーン
「いつまでも
健康で美しい歯を保ちたい」
そんな願いを叶えるための第一歩を、グランプロデンタルクリニック銀座が応援します。
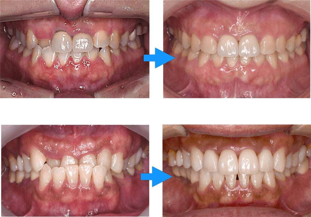
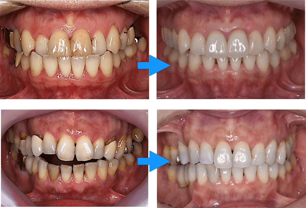
「インプラント」「噛み合わせ」「矯正」など、お口の悩みは人それぞれ。
そこで『グランプロデンタルクリニック銀座』では、初めて当院をご利用いただく患者様限定で、患者様お一人おひとりに最適な治療計画をご提案するため、初診相談から精密検査までを無料でご体験いただける特別なキャンペーンを実施中!
経験豊富な院長が、あなたの歯のお悩みに真摯に向き合い、最適な治療法を見つけ出します。
通常は費用のかかる初診相談や院長指名料も、この期間中は一切いただきません。
ご相談だけでも大丈夫です!
(*検査については、別日でのご案内をする場合もございます)

キャンペーン内容
グランプロデンタルクリニック銀座で提供するインプラント、噛み合わせ、矯正など、各治療に必要な検査に加え、院長による初診相談料や指名料も無料となります 。
キャンペーン適用期間
2025年10月3日(金)〜
2025年10月31日(日)まで
※上記の期間内にご予約ください。
対象検査・流れ
-
01
初診相談(無料)
<初診相談料¥5,500 + 院長指名料 ¥5,500(税込)>
経験豊富な院長が、あなたの歯のお悩みに真摯に向き合い、最適な治療法を見つけ出します。
通常は費用のかかる初診相談や院長指名料も、この期間中は一切いただきません。 -
02
共通検査(無料)
*初診内容によっては、後日になることもございます。
- 口腔内・顔貌写真:歯並びと顔のバランスをチェック
- 口腔内スキャン(3Dデータ):模型作成や治療後のシミュレーションに使用
- パノラマX線:口腔全体の状態を確認
- 顎関節CT:顎の位置や関節の状態を確認
- 筋の状態チェック:噛み合わせとの関連を確認
- 開口量・開口パターン確認:顎の動きをチェック
-
03
治療に必要な各種検査
<共通検査に加え、希望する治療に応じて行う精密検査>
*初診内容によっては、後日になることもございます。-
インプラント検査:¥55,000(税込):無料
欠損部位のCTで骨の硬さ・厚み・高さ、神経や血管の位置を確認。安全にインプラントを埋入するためのシミュレーションを行います。 -
噛み合わせ精密検査:¥77,000(税込):無料
フェイスボウ記録・模型作成・咬合位の評価・歯ぎしり検査などで、噛み合わせや顎関節のズレを詳細に確認します。 -
矯正検査:¥44,000(税込):無料
全顎CTや顔貌分析により、歯と顎、顔のバランスを確認。最適な矯正方法を立案します。
*上記の他に、14枚デンタルX線写真による全歯の詳細なレントゲン検査、唾液検査、歯周病菌のPCR検査、他施設でのレントゲン検査など、患者様のよって必要な検査を行います(こちらは追加での費用が必要になります)。
-
インプラント検査:¥55,000(税込):無料
-
04
治療計画
診察・検査の結果を踏まえ、治療プランをご提案させていただきます。
対象・条件
治療に関わる検査+初診・指名料が無料の対象になります。
◆キャンペーン適用例:嚙み合わせ治療の場合
通常、噛み合わせ治療に必要な「初診相談料」「院長指名料」「噛み合わせ精密検査」の合計¥77,000(税込)が無料になります 。
※お一人様 1回限りです。
※院長の診察によりお断りする場合がございます。
※当院が初めての方のみ。以前ご利用いただいた方は対象外です。
申込方法
公式HP「ご予約フォーム」もしくは公式LINE、お電話にてご予約ください。